マウスピース矯正施術の流れ
「目立たない、痛みが少ない、通院回数が少ない」
メリットの大きいマウスピース矯正ですが、万能ではありません。マウスピース矯正にとって不利な条件であったり、苦手なことは存在します。マウスピース矯正装置は優秀ですが、それだけに頼るだけでは患者満足度は高くなりません。
マウスピース矯正を成功に導くため、当院では3つの取り組みを行っています。今回はこの3つの取り組みについてご説明します。
治療保証

当院のマウスピース矯正は3年間治療保証付きです。保証の中身は「計画の修正や変更」「装置破損/紛失時の再製作」「リカバリー治療」です。矯正治療は数カ月から数年の長い期間がかかります。治療の全期間で様々な予定外に対応できること。これが、当院の治療保証です。
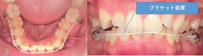
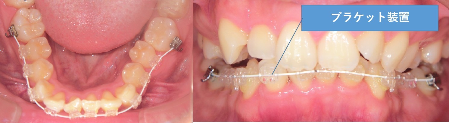
リカバリー治療

マウスピース矯正が予定通りに進まないとき、闇雲にマウスピース矯正を続けていても良い結果は生まれません。当院は、ブラケット装置(ワイヤー矯正)の技術と設備を確保しています。歯列矯正の基本でありブラケット装置の技術と日頃からの実践がある当院だから万が一のときに迅速な対応が可能なのです。
明瞭会計

当院のマウスピース矯正料金体系はわずか2タイプのみ。幼少期や過去に矯正治療を受けたことがある方や軽症な方に対しての再治療(軽症)プランと中~難症例でお困りの方向けの一般プランです。
治療費がわかりずらい、請求がまちまちで決まっていない、相談前にいくらなのか心配で決心がつかないといったことがなく、すべて提示している価格に含まれています。追加費用はありません。
| 再治療(軽症) | ¥484,000 | 再治療者の場合、再診料なども無料 |
| 一般 | ¥1,320,000 | 3年間治療保証あり |
最後に
自分は軽症なのか、それとも難しいのか?はっきりと判断できない場合はぜひ当院までご相談ください。全国で高い普及率を誇る矯正診断支援ソフトウエア・クリアパイロットを用いることで正しい現状認識をすることができます。
当院の支援ソフトウエアは、国内普及率が高く、各歯科医師で診断が大きく逸脱することはありません。


